“Total Knee Replacement has been ranked among the most successful procedure in modern medicine”
Knee pain is one of the commonest problem people faces in all age groups. Often patient move from Hospital to Hospital and from Doctor to Doctor in search of pain relief and optimum treatment without getting desired result.
This will include prevention, early diagnosis, medical and surgical intervention and Rehabilitation.
Knee Clinic offers complete programme for patients suffering with knee disorders due to sport injuries, obesity related knee symptoms, and early and advanced stage of arthritis.
Most of the young person’s knee disorders are dealt with as a “day case arthroscopic Procedure” Which does not require overnight stay.
Knee clinic will address:
- Prevention of Knee disorders by public awareness and Life Style changes and Body weight management.
- Preventing or slowing down of the disease progression , therefore avoiding the need for any major operation in future in some cases. A precise early diagnosis means far better prognosis.
- World class effective treatment: Arthroscopy, minimally invasive procedures, partial and total knee replacement with a relatively small incision in some cases.
Knee clinic is specifically designed to include relevant diagnostic tests for knee disorders. It is a one stop centre to alleviate the knee pain and impaired activity and productivity associated with knee symptoms.
A) Knee joint
It is a complex joint made of three bones (Patella, Femur and Tibia). It is more complicated than a simple hinge joint. There are three compartments in the knee the knee.
In a healthy Knee a extremely smooth and naturally and naturally lubricated cartilage covers the surfaces of the three bones in the joint and allows smooth pain free knee movements. It is controlled by strong muscles and ligaments.
B) Causes of Knee pain
- There are dozens of causes for knee pain, however following are the commonest and important.
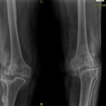
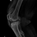
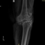
- Osteoarthritis: This is an age related “ wear and tear “ type of arthritis. One in six person above 55 years of age suffers with this problem.
- Rheumatoid Arthritis: In this the joint lining (synovial membrane) that surrounds the joint becomes thickened and inflamed. If it is Chronic and not treated early with newer drugs can cause erosion of joint surfaces. This produces pain, swelling, stiffness and ultimately causing deformity like knock knee or bow legs.
- Post traumatic Arthritis: This can occur after intra articular fractures of the knee joint if not managed by appropriate fixation after the injury.
C) Alternatives to full knee replacement
- In early stages patient usually benefit with specific gentle physiotherapy exercise.
- Drugs: Pain killers and anti inflammatory tablets are helpful but if taken on long term basis, they can cause side effects in stomach, kidneys and other organs of body.
- Weight loss: If your body weight is above normal, reducing weight helps knee symptoms.
- Orthotics: Specific knee braces and specific orthotic device for your shoes are helpful in early stages of the disease.
- Injections: Intra articular injection in the knee like steroid and specialized injection like Synvisc are helpful for temporary symptomatic relief.
- Operations: In Early stages Arthroscopic surgery can be helpful in some selected patients.
- Joint Preservation Surgery of the knee: With this latest technique, future major operations like joint replacement could be avoided.
- Osteotomy: If there is deformity of Bow legs or Knock knees in a younger person than corrective osteotomy to correct the alignment of the leg helps the knee pain.
- Focal Femoral condyle Resurfacing: If there is a small defect in joint surface which is localized and is about 15 to 25 mm in size, than it can be replaced with a highly advanced and very specific metallic resurfacing device in younger patients. This is not available in any other hospital in India at present.
- Hemicap Focal femoral condyle resurfacing of knee:- This for young pt with full thickness Chondral ( articular surface ) defect in the femoral condyle of the knee measuring more than 1.5 to 2 cm in size . Although we can do osteochondral autograft transplantation. (OATS) but has disadvantage of donor site morbidity. It is a relatively small operation and a good procedure in highly selected pts.
- Partial Knee replacement: If there is arthritis involving only one compartment out of the three in the knee, than we can do half knee replacement. Usually it is the inner side of the knee which is affected in early stages.
D) Total knee replacement
In advanced stages of arthritis patient experiences pain on movement, disturbed sleep, stiffness, swelling and deformity. Sometimes pt needs walking stick and not relieved by non surgical treatment than total knee replacement is the operation of choice.
In this the arthritic and eroded joint surface is removed and replaced with an artificial knee prosthesis made of specialized metal and high grade plastic. The operation also corrects the deformity if present.
It is one of the most successful and routine operation. With total knee replacement we provide a life time of pain free movement. Pt knee feels more normal, stronger on stairs, more stable and fewer clunk, clicks and pops.
We do it with a smaller incision but it is not a arthroscopic or key hole operation.
We also offer the option of pt matched instrumentation. It is an alternative to computer assisted knee replacement.
We use tailor made cutting blocks. It reduces operation time. Whereas computer assisted surgery increases the operation time.
Don’t waste time and money shopping around get world class treatment locally with Dr Ram Soni. His results are comparable to Best centres of the Western countries.
E) Latest in the knee replacement
Patient specific instruments: We do MRI scan of the knee to collect data. This enables us to know the precise anatomy, bone loss and consequent deformity of the arthritic knee of that patient. Than instruments are made specifically for that patient.
This enables operation to be performed with very high precision. It also saves operation time.
” Enjoy life again “
Have a successful joint replacement Surgery and get back to an active pain free life.